
上から治一郎、nakagawa Baum(rumが決め手)
そして「愉快な」スナックたち
小粋な週末を演出してくれます。
〇 本文
いよいよ来週に迫ってきた「なのは」さんの出演。(全米が「今や遅し」と震える準備に余念がない様子)
その乗り越えてきた治療は(抗がん剤を受け入れてくれた)大学病院の医師をも震撼させたほど。
そんな「なのは」さんの、その凄まじいエネルギーの原点には「初期診療を誤ってしまった」という反省がありました。
それでは時計の針を(前回コラムから)数年戻してみましょう。
(以下、「なのは」さんの言葉より一部抜粋)
①始まりは20〇〇年、会社の健康診断にひっかかって要精密検査になったことでした。当時、仕事が忙しかったことから、土日もやっているAクリニックを予約して受診しました。マンモとエコーを行って「健康診断だと専門医がいないから簡単に要精密検査になるんだよ。大丈夫、線維腺腫だ」と言われました。注1) あー良かったと思っていたら
②1年後の健康診断でまたひっかかりました。ただ今度は様子が違っていて、健康診断のクリニックから会社に電話がかかってきて「話があるから来てください」と呼び出され「去年、精密検査しましたか?針を刺して細胞診はしましたか?」と言われ「検査はしましたが細胞診はしてないです」と答えると、「細胞診してもらえる病院に紹介状を書くので行ってください」と言われました。すぐに病院に電話して予約を入れたのですが、予約できたのは2週間後でした。それを待てず、すぐに診てもらえるAクリニックにも行こうと思い、行ったのが運命の分かれ道でした。
Aクリニックに行くと、去年とは医師の様子が違って「うーん、血流があるからMRIを撮りましょう」と言われました。「細胞診じゃなくてMRI?」と思いましたが、医師に質問することもなく「最近はMRIでわかるんだ」と検査を受けました。結果は陰性。「これはがんではない、がんだともっと濃くでるから」を言われました。そして、私は「良かった、がんじゃなかった」と、総合病院の予約もキャンセルしてしまいました。
③すると月経の度にしこりが痛くてあざができるようになったので、10か月ぐらい経ったとき、Aクリニックに行きました。すると、医師が明らかに焦った様子で少し声を荒げて「大きくなったら来なさいって言ったでしょ」と言ったんです。「あ、これはやばいんだな」と予感がしました。医師は「今から針生検しても…」とブツブツ言っていたので、私は「がんじゃなくても取ってもらいたい」と希望して、数日後、部分麻酔の日帰り手術で切除しました。

不屈の闘志でcCRを勝ち取った「なのは」さん。
そのエネルギーの陰には「初診を誤ってしまった」ことがあります。
「もしかして」そう思いつつも、それが「自分にとって都合がよかった(良性であってほしいという願い。に一致した)」ことで(それ以上の行動を起こさずに)封じ込めてしまったという思い(後悔)がありました。
まず、①ですが…
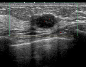
いつもなら(周到に)都合の悪い画像は送ってくれないその医師も、幸運なことに?今回「初診時のエコー」画像が(転院の際の)資料に入っていました。
Aクリニック 初診時US ①
Aクリニック 初診時US ②
Aクリニック 初診時US ③

えっ?
これを自信たっぷり「大丈夫だ、線維腺腫」っていったわけ?

このエコー見たとき、おったまげた(昭和?)よ!
とても画像だけで「線維腺腫と言い切れるレベル=きれいな楕円形」ではないよね??
ここから、そのストーリーが始まったのです。

②その1年後だけど…
その検診のクリニックの医師の様子は凄く印象的だよね?
普通なら「紙面で要精査」で済む(実際に1年前はそうだったわけだけど)ところを
わざわざ「呼び出し」して、(前回細胞診せずに良性扱いしたことを責めるかのように)今回は「細胞診してもらえる病院に紹介状を書く」だからね。明らかにこの検診医は「癌を疑っている」ことがアリアリと伝わるね?

正に、その通り!
ただ残念なことに(この際の)画像所見は提供されていない。(と、いうか初診時のUSが提供されたことが奇跡)
ただ、初診時より「より一層」癌らしい画像だったことは想像に難くない。

しかし、「きちんと診断されてほしい」という検診医の願いむなしく…
「最近はMRIでわかるんだ 結果は陰性。 これはがんではない、がんだともっと濃くでるから」
と、更に診断までの道のりが伸びたということだよね。

私の想像だけど…
この時点で「なのは」さんの頭の片隅には「もしかして」があったのかもしれない。
ただ「こうあってほしい」という希望に合致してしまったために、「臭いものには蓋、言い換えれば、先送りしてしまったのではないだろうか?
♯このあたりは、あくまでも私の想像なので、来る23日に是非当時のその心境を語ってくれることを願っています。

そして、遂に③ 本当の診断にたどり着くんだね?

まさに、「正に」だよ!
SLUM DUNK風に言うと…
「待ちくたびれましたよ…!!」
ですね。
何気にSLUM DUNK好きの私。 たまにその名言が頭をよぎります。
スポーツ漫画でいうと、「ダイヤのエース」もお気に入りとか、お気にいらないとか…(余談でした)
(参考)
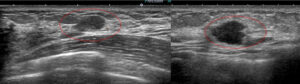
線維腺腫っぽく見えても癌 case.1
左と右(「なのは」さんのAクリニックでの初診時)比べてください。
実は左も癌です。
右の方がよっぽと「癌らしく」見えませんか?
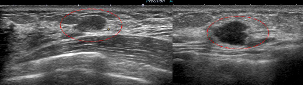
線維腺腫っぽく見えても癌 case.2
同様に左も癌です。
線維腺腫っぽく見えても癌 case.3
これなんかも(左)癌なのだから、やはり「なのは」さんの所見を「線維腺腫だ!間違いない」などというのが如何に無知なことか!

それでは最後の「〆」に…
典型的な「線維腺腫(実際に生検で線維腺腫と確認)」と典型的な癌「私のcat.7」を提示します。
左と右、どちらが線維腺腫でどちらが癌なのか?当ててください(皆さんなら簡単ですね? 引っかけはありません)
このくらい典型(私cat. 2)ならば画像だけで「線維腺腫で大丈夫です」と言えるのです。
♯逆にこれくらい典型(私cat. 7)ならば画像だけで癌と言い切ってもいいでしょう。



Aクリニック 初診時US ④



