昨日、鮨食べましたが旨かった!
〇 本文
QA 13262 「針生検ほぼ良性からのMRI検査」の回答から抜粋
『それではどうすればいいのか? 正に、この嘆かわしい現状を解説し「どうすべきか?」今週のコラムに取り上げることとしました。暫しお待ちを。』
と、またもや神君をお待たせしてしまいましたが、(最近、この人登場多すぎ!)
漸くこの日を迎えました。

果たして、確定診断(組織診断)が本当に難しいものなのか?
まずはその本質に迫ろうと思います。(って、あんたのquality 神君に比べて低すぎ! )
◎まず、結論からいいます。
全ての「しこり」は針の検査 注1)で100%確定診断可能です。
注1) 針の検査の種類
1.細胞診

要は、普通に(採血などで用いている)注射器で
しこりを「つついて」ほつれた細胞の集塊を採取する検査
かなり「原始的」な装置(人力)であり特徴として
①採取できる細胞量は「かなり」限定的
②技術力を要する
きちんと診断に足る細胞量を採取するには「しこりの中心部分を正確に捉える」「(人力で)吸引圧を維持しながら、グリグリと針を回すなど積極的なアクションが必要」であり、非常に「術者を選ぶ」検査である。
♯本来、癌であればクラス「Ⅴ」を出さなくてはいけない(私であれば絶対にⅤとなります)が、(QAを見ていてもお判りの通り)ほとんどの医師は癌であってもクラス「ⅢB」とかしか出せない。
→その理由は「的を正確に射ていない」+「細胞を採取するアクションが不十分」であり『細胞量が不足する』から
2.組織診
ポイント (1で挙げた)細胞診よりは手技的には簡単
(理由)①針自体が太いから(エコーで)見やすい
②バネ式にしろ吸引(圧)式にしろ「自動」で採取するので「(針を回したり、グリグリしたりの)工夫」が不要
2-1.バネ式 CNB core needle biopsy
バチーン、とバネの解放力で組織を採取
2-2.吸引式
2-2-1.CELERO

バネの力で「吸引圧」をかけて採取
2-2-2.MMTE / ST-MMT(specialized in calcification)

これは、充電式で「電気の力」で「吸引圧」をかけて採取
特徴
1.針が太くてしっかりしているので「どんな硬い組織」の中も推進できる。
2.長時間吸引圧をかけるので「かなりの」量採取できる。

全ての「しこり」は針の検査で100%確定診断できる?
って、それじゃー何故 13262さんの担当医は「針生検は一部しか採取できない。乳管内のしこりがモザイクのようになっているから診断が難しい」
などと「小賢しい」こと言っているの?
どうして? どうして?

って、おいおい!
「黒い」ってだけで、俺のキャラ獲るんじゃねーよ!

まぁ、まぁ 内輪もめ?しなさんな。
キャラは多いほどいいって漫画家界隈では有名だしな(?)
それは、置いといて本題に戻るけど…
その小賢しい(失礼!)医師のいうところの『針生検は一部しか採取できない。乳管内のしこりがモザイクのようになっているから診断が難しい』
何故、こんなことをいうのか?
その原因は以下の「複合的」な要因がある
要因1.デバイスの選択の誤り
この乳管内のしこりが「モザイク」のようになっているから(一部しか採取できない)針生検では診断できないと言っているが、
それであれば、本来(バネ式針生検ではなく)MMTEを用いるべきである
→バネ式CNBでは「確かに一部しか採取できない」のでその医師のいうようになる懸念があるが、本来MMTEは「そのために」あるのです。
要因2.手技的熟練度
これは「言わずもがな」ですが、デバイスを使いこなして「すべての所見は、100%確定診断たるべき」という境地に達しないと、どんな状況においても「その結果に自信が持てない」
実際この「小賢しい」医師は、最初に細胞診で「検体不適正」をやっていることからも手技的に問題があることは明白です。
◎診断の問題点
今週のコラム526回目、525回目と合わせて見てもらいたいのですが、
診断の問題点には以下の3つがあり、それは実に「複合的に」絡み合っています。
1.画像診断
2.その所見に対して組織診をするかどうか?という診断への「積極性」
3.組織診手技の「精度」
1.画像診断について

例として今週のコラム526回目に登場したAさん
昨年 検診で(昨年にはなかった)シコリが指摘されたのだが、(なんと!)カテゴリー2として要精査とならずに、一年後(今年)同じシコリが(今度は、少し大きくなったからと)漸く要精査となり当科をつい先日受診された。

あったね! で、どうなったの?

病理診断出たけど、やっぱり「癌」確定したよ。
それともう一つ、初回(昨年要精査としなかった)エコーが検診機関から送られてきたよ。
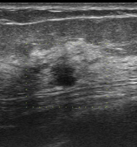
初回の検診エコー(今回送られてきたもの)
縦長! 不整型!
これ(去年に何もなかったのに、しかも60歳代)で要精査に何故しない!!
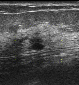
別角度
やっぱり、どう見ても「癌疑い」
何で、カテゴリー2で要精査としなかったのだろう。
検診機関なので「当然」エコーは技師が行っています。
上に挙げた4つのエラストグラフィー
これが何を物語っているか?

エラストグラフィーは何か所見があった際に「これは怪しい!」と思わない限り追加で行わないものです。
これを実は4回も(昨年)行っていたのです。
つまり、(昨年も)その技師は「明らかに癌を疑っていた。」

この4枚のエラストグラフィーは技師の「これは怪しい所見です!是非要精査にしてください!」という心の叫びと言えるんだね!

まさに、その通り!
ただ、悲しいかな。技師さんのその「必死な思い」は、検診画像評価を行う医師には伝わらなかった。
結局、検診結果を出すのは(その画像を見て判断する)医師なのです!
正に診断の問題点1「画像評価」の過ちがここにありました。
◎診断の問題点 2,3は次回へ







