〇本文
せっかく早期で見つかった(筈)なのに、「線維腺腫」として放置されてしまう。
これはとても由々しき事態と言えます。
まさに、つい先週の動画ライブ配信(11月23日)も、元をたどれば「ここから始まった」のです。
QA 管理番号13251 肝臓、肺への転移について
(一部、抜粋)
昨年9月に左胸上部に自分でしこりを見つけ、すぐに行きつけの乳腺外来がある病院へ。
その際のエコーで大きさ6mm、特徴からして線維腺腫だろうとのことで経過観察。
今年同じ病院に10月末に受診。
同じしこりが少し形がいびつになってるとの事で針生検。
先週に浸潤がんの診断を受けました。

このメールが頭に引っかかりながらの11月23日のライブ配信で「なのは」さんの発表で再度、線維腺腫と診断→(最終的に)→乳癌
そんな中、その3日後水曜日外来予約外でこんな症例が…
1年前
エコー検診 技師さんがエコーしている際に明らかに(今まで無かった)シコリを発見、その際に(毎年受けている)Aさんは思わず(その技師さんに)『何かあるのですか?』
しかし技師さんは(おそらく、マニュアル通りに)「結果は後で医師が判断するので、何も答えられません」
暫くして郵送されてきた結果には「カテゴリー2」
今年
今度は大きくなったといわれ(誰に言われたかは忘れましたが)「要精査 9mm」
そこで受診したクリニックでは何と! 『小さいから分からない、 3か月後』と、言われた。
ここに至って、当院予約外受診となったのです。

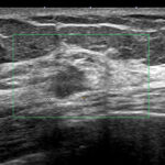
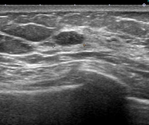
これが検診時の画像
私カテゴリーでは「私cat.6 乳癌の可能性がかなり高い」
例)スピキュラはないけど不整形、境界不明瞭
♯ちなみに一般的なカテゴリー(1~5)では4となります。
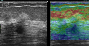
これも検診時の画像
左はエラストグラフィー(硬さを見ています 赤:柔らかい 青:硬い)
皮下脂肪は赤で柔らかく
腫瘍(中心:青)は周囲の乳腺(緑)よりも硬いことがわかります。
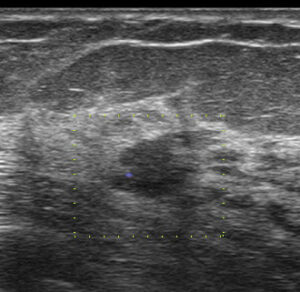
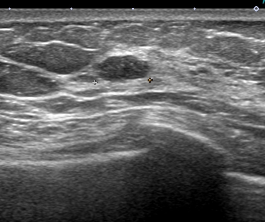
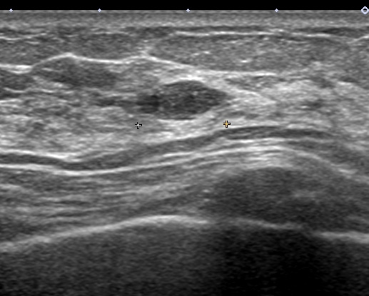
これが、当院受診時のエコー画像
やはり不整型 文句なしの「私cat.6」となります。

私カテゴリーとは?
って、おいおい これ謎雄ちゃん、ちゃうやろ?
色が同じだからって…
(以下、今週のコラム495回目より抜粋)
私category 一般的なcategory
私cat.1 乳癌の可能性はない(断言できる)
例)全くの正常 ⇒ cat. 1
例)嚢胞、artifact ⇒cat. 2
私cat.2 乳癌の可能性は極めて低い
例)扁平な(碁石のような)線維腺腫 ⇒cat.3
私cat.3 乳癌の可能性は「かなり」低いが可能性はある
例)扁平ではない(やや張りがある)線維腺腫や ⇒cat.3
(腫瘍よりは)乳腺症と言える所見 ⇒cat.3
私cat.4 乳癌の可能性はあるが高くはない
例)歪だが(癌よりも)線維腺腫をより疑う ⇒cat.3
私cat.5 乳癌の可能性の方が(良性よりも)高い
例)小さくて癌と断言はできないが不整形であり癌を(良性よりは)疑うべき ⇒cat.3
私cat.6 乳癌の可能性がかなり高い
例)スピキュラはないけど不整形、境界不明瞭 ⇒cat.4
私cat.7 乳癌と言い切れる
例)不整形でスピキュラがある、前方境界線断裂⇒ cat.5

そもそも…
この方は60歳代(閉経後)
初回超音波画像(現在検診機関へ「お取り寄せ」中です)は現時点では不明ながら、新たに出現した「しこり」と、いうだけで「要精査」の対象となる筈!
それをカテゴリー2として「要精査不要」とした検診医療機関の判断が問題1と言えますが、
それにも増して (その2年前になかった)「明らかにカテゴリー4」の腫瘍、しかも「9mm」あるのに「小さいから経過観察3か月」という、そのクリニックは何ぞや? ここが問題2であり、問題1と同等(寧ろ)それ以上の問題とも言えます。
このエコー所見で「線維腺腫」として経過観察→癌だった! 問題。
かなり根が深い!
私であれば、エコーで第1印象として「線維腺腫かな?」と思っても(私cat.3)、CELEROにて癌という症例
扁平だけど(私cat.2のように)完全に境界が「クリっ」としていない。
私はこれを境界が「ぼそぼそ」と表現します。
こんな線維腺腫も実際にはありますが、でもやはり(私cat.2とは異なり)
この症例のように乳癌ということがあるのです。
それを経験している私は例えば
こんな(上の症例に比べれば)ぼそぼそ感もほぼなく
私cat2に近い(それでも私は3とします)ものもCELEROしました。
まだ結果出ていませんが…(後日、報告しましょう)
私以外では「組織診しない」のだろうなぁ。
因みにこの症例は「エコー検診で5年前には所見なし」と言われています。(これも私的には気になりました)




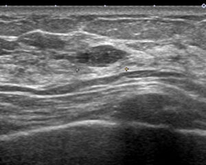
これも同症例 どこを受診しても