
右(全てセブンより ハンバーグとホルモンx2) 左(パスタ やはり絶品!)
注) 先週の鮨は、つい旨すぎて写真撮影忘れてしまいました。
〇 本文
掲示板(2025/10/1)にコメントしたように、私が「日頃の診療」や「QAからの悲痛な叫び」から世にいいたいことを数限りなくあります。
1.早期発見(小さいから生検できないとは何事!)
2.生検手技の精度(結局、トライしないから経験不足となり「いつまでも」上達しない)
3.手術手技の精度(鎖骨下郭清、鎖骨上郭清どころか、通常の腋窩郭清さえも避けて術前抗がん剤で誤魔化す「手術レベルの低下」)
4.乳腺外科医としての幅(やはり外科医としての「幅」が狭いと、(自分が楽にできる状況以外は)「なんでもかんでも外科的適応外とされてしまう」
↑
こんな風に箇条書きにすると、あまりにも酷い実情が可視化されてしまい絶望していまいますが…(それが現実)
それはそれとして、今一番「憂う状況」なのは遠隔転移についてです。
そのきっかけは、QA(文字通り)「遠隔転移にていて」を回答(特に回答「2」)していて感じた「強い衝動」でした。
(以下、抜粋)
遠隔転移について
[管理番号:12822]
投稿日:2025年06月16日
【質問2】
先日MRIをしました所、肝臓は何ともなく、たまたま映った左肺に1箇所腫瘤があったとのことで、造形剤なしのCTを急遽追加でし、同じように左肺に1.3cmの腫瘤が確認されました。
そして、転移であればもう完治する事は絶対にない。延命しかできない。とハッキリ言われました。
今のところは1箇所なので手術で取れば画像上はなくなるのでは?と言いましたが、
もう転移している時点で全身に散らばっているため、何をしても絶対に完治はできない。と言われ、それでも諦めきれないため、絶対にですか?と念押して聞きましたが、絶対にです。と言われました。
今まではセカンドオピニオンで何ヶ所でもまわってどうにか完治を目指せる主治医を探したいと思っていましたが、もうあなたには延命しかないとハッキリ言われ、暗闇から這いあがろうと手を伸ばしたのに叩き落とされた気分になり、どこに行っても同じ事言われて更に私はもうダメなんだと思うことしかできないのではないかと恐怖と諦めの気持ちが出てきてしまいました。
子もまだ小さく生きられるならば、どれだけ痛かろうが辛かろうがやってやる気持ちだけはあります。
まだどうしても死ぬわけにはいかないのです。
トリプルネガティブのため、抗がん剤しかないのも分かっています。
遠隔転移の場合は、延命のための抗がん剤をするしかないのでしょうか。
わたしは抗がん剤するならば希望を持って治療したいのです。
【回答2】
こんにちは。田澤です。
事実の話として
薬物療法の進化を本当に実感するだけの経験数と、それに伴う(実際の)成功体験を持たないと(私が医者になったばかりの30年以上前と同様に)「遠隔転移は治らない」一択となるでしょう。
しかし、様々なgame chagerが現れた真の意味を知ると、30年前とは全く異なる可能性に気付くのです。
転移であればもう完治する事は絶対にない。延命しかできない。とハッキリ言われました。
⇒悲しいかな。
その医師には絶対的な成功体験が足りない(経験数がそもそも足りずに、昔からの言い伝えを『自分自身の経験でアップデート』できていない)
今のところは1箇所なので手術で取れば画像上はなくなるのでは?と言いましたが、
もう転移している時点で全身に散らばっているため、何をしても絶対に完治はできない。と言われ、それでも諦めきれないため、絶対にですか?と念押して聞きましたが、絶対にです。と言われました。
⇒馬鹿じゃないの、このヘボ医師は!!
こんな医師を相手にしても仕方ないですよ。
今まではセカンドオピニオンで何ヶ所でもまわってどうにか完治を目指せる主治医を探したいと思っていましたが、もうあなたには延命しかないとハッキリ言われ、暗闇から這いあがろうと手を伸ばしたのに叩き落とされた気分になり、どこに行っても同じ事言われて更に私はもうダメなんだと思うことしかできないのではないかと恐怖と諦めの気持ちが出てきてしまいました。
子もまだ小さく生きられるならば、どれだけ痛かろうが辛かろうがやってやる気持ちだけはあります。
まだどうしても死ぬわけにはいかないのです。
トリプルネガティブのため、抗がん剤しかないのも分かっています。
遠隔転移の場合は、延命のための抗がん剤をするしかないのでしょうか。
わたしは抗がん剤するならば希望を持って治療したいのです。
⇒無論、「根治しますよ」とは言いません(私は宗教家でも、ペテン師でもない)
そうではなく、「根治の可能性を考えるなら、これがベスト」という治療法については経験があります。
アプローチとしてはまず2つですね。
1.肺病変を「転移なのか?の確定診断目的+(局所療法としての)切除目的+(転移ならば)サブタイプを確認する目的」で(胸腔鏡下に)切除⇒その後全身療法
2.まずは全身療法(やはりfirst line はsacituzumab govitecanとなるでしょう)
⇒(肺病変が)消失しないのであれば「ここで」肺の手術
上記1,2どちらにせよ、まずは「画像上完全緩解cCR」 それをどの位維持できるか? この維持が10年を超えた時、それは根治の可能性を秘めてきます。
その後、肺病巣は摘出しサブタイプ待ちの状態であると「質問3」があり、それに対し(もしも原発巣同様のトリプルネガティブであれば)
(以前なら)bevacizumab/paclitaxel一択だったのが、現在はsacituzumab govitecanもある!
と回答しています。
『遠隔転移を諦めてはいけない』
ただ、言うだけなら(それこそ)「宗教家」でも「ペテン師」にでも簡単に言えます。
そうではない。現実をみること。
薬物療法の進化がkeyなのですが、やはり「いろいろな角度」から遠隔転移を考えていきましょう。
case 1 QA管理番号12566さん 診断時、「多発転移」
手術適応無、luminay typeであり薬物療法の第1選択としてCDK4/6 inhibitor+hormone開始
手術適応無、薬物療法は「効かなくなれば、変更していきます。」
この際に(最終的には抗がん剤になるだろうけど)「どうせ、遠隔転移があるのだから治らないのだから」楽な治療がいいでしょ。
そういわれた気がしました。
↑
このあたりの「ニュアンス」は私が(半ば)想像して記載していますが、これを実際に(本人に)確認して修正して次回の動画配信で私が代読していきます。
治療開始
abemaciclib+letrozole start
(9か月後)abemaciclib+anastrozoleへ
(更に、5か月後)abemaciclib+exemestaneへ
(その1か月後)everolimusへ
(その更に1年後)palbociclib+Fulvestrantへ
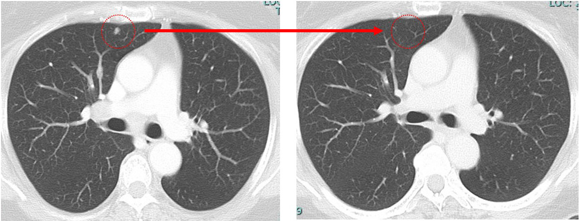
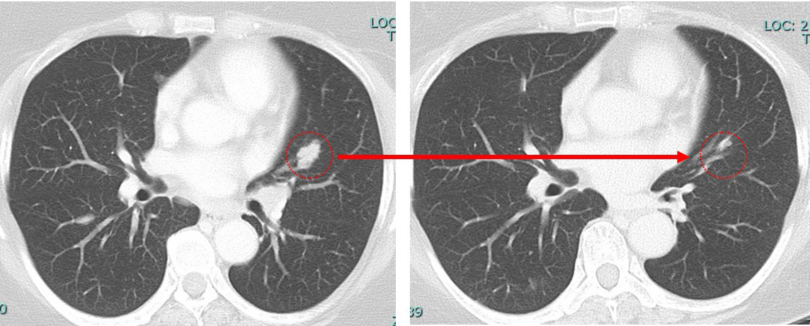
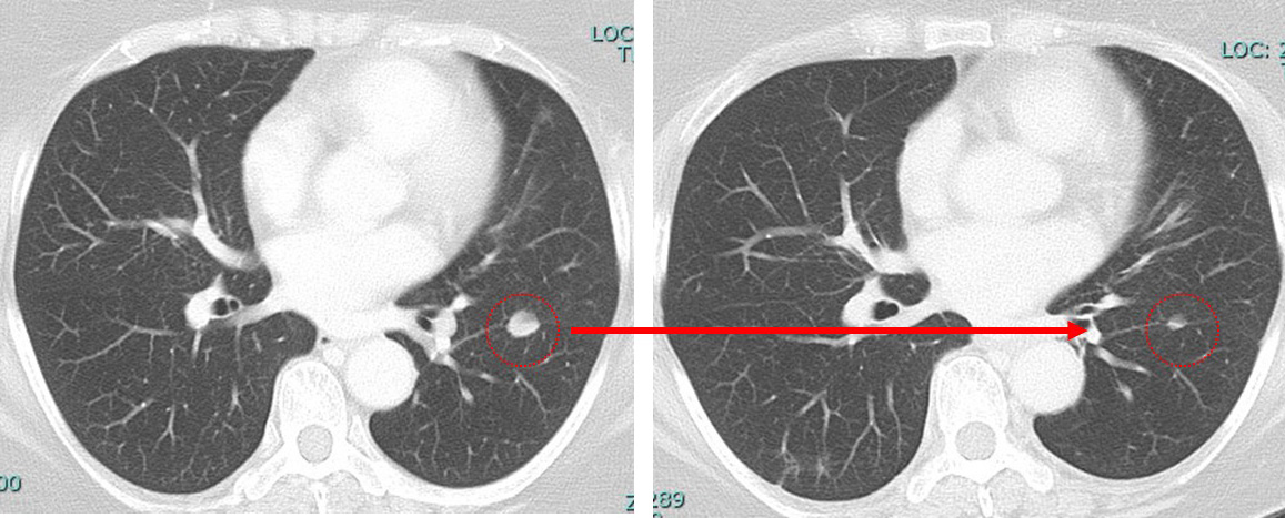
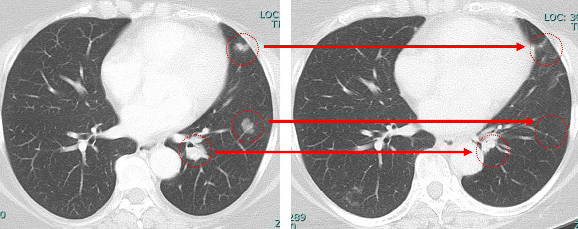
この前医での「分子標的薬+ホルモン療法」による治療効果 2022/8/2~2025/2/5 (2年半)
この(分子標的薬+ホルモン療法だけの)2年半の効果
肺 かなり効いている
それでは原発巣(乳房、リンパ節)は??

肺転移は(分子標的薬だけで)コントロールされている。
それでも主治医からは、手術の話はない。
12566さんの気持ちとして
腫瘍は小さくならない、「手術で摘出してほしい」 それに(手術もせずに)「いつまでこの治療をするのか(永遠??)」
↑
そんな思いを胸に、「12566」さんは当院へ転院してきたのです。

ポイントは2つあるよね??
①「多発肺転移」は画像上かなり小さくなっているのに「胸の腫瘍は小さくならない」
この「乖離」が何故なのか?
②2年半もの治療期間で「小さくならなかった(効果がなかったといえる)」この原発巣が(このままの治療で)いずれかの時点で「新たな遠隔転移の原因とならないのか?」

その通り!
謎雄君。いいところに目をつけてるね!(と、いうかそもそも顔に「目と口」しかないように見えるとも言えるが…)
単純に…
原発巣は大きい(腫瘍細胞の量が膨大)に対して肺に(多発してはいるが)「それぞれの腫瘍の細胞量は少ない」
やはり薬剤にとっての「相手の大きさ」というのは治療効果に一定の影響はあるのでは??
その意味で私のよくいう「volume reduction」というのは理に適っている。
↑
このvolume reductionの考えの延長線上に「局所療法の重要性がある」とも言えます。

「奴ら」のよくいう「全身に散らばっている(かもしれない)癌細胞」という言葉
これは半面正しい♯1としても、(だからといって)局所治療が無意味ではないという根拠の一つにもなるよね?
♯1 この「半面正しい」というのは(逆に言えば)「半面」誤っている可能性があるからです。実際に「そこだけしか細胞レベルでも癌細胞がないかもしれない」、見てもいないのに(勝手に)「散らばっている呼ばわり」されては、流石の「癌細胞さん」も可哀そう。

「奴ら」呼ばわりとは、謎雄君は今日も過激だね!(その調子で頼むよ)
◎相手が小さくて、かつこちらの武器が強力であればそこに根治の可能性が見えてくる。
ここで乳癌診療ガイドライン治療編(2022年版)p367の以下の一文を紹介しよう。
(以下、抜粋)
少数臓器のオリゴ転移(oligometastatic disease:OMD)に対しては転移巣を切除することで臨床成績の改善が得られる可能性が論じられるようになってきた。

考えてみたら、当たり前だのクラッカーだよね(古っ!)
遠隔転移と一括りにすること自体がナンセンス。
そして、こちらの「武器が強力になればなるほど」相手が「かなりの大きさでも」十分勝ち目が出てきた。
そんなことではないだろうか。

遠隔転移があるから手術は無意味、一生治らない。どうせ治らないから楽な治療でいいよ(と、抗がん剤もされずに)2年半頑張ってきた12566さん。
「楽な治療」といえどもabemaciclibの下痢やeverolimusの口内炎など決して(奴らのいうように)「楽なだけではなかった」その治療。
その2年半で得られた、「肺病変は小さくなったよ」という言葉
そしていつも頭をよぎる「この腫瘍が大きくなったらどうしよう」という不安
今後も「ちょっと効きが悪くなったから、薬剤変えるよ」と、いままで続いてきたそれが永遠と繰り返される。
それが自分の望んできたことなのか?
「肺病変が小さくなっている」のだから、この「いつまでも自分は癌だ」と打ちのめされてしまうこの(胸にある)腫瘍を何故手術してはいけないのか??
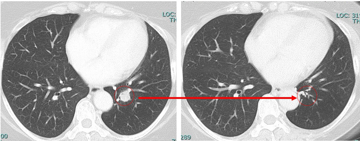
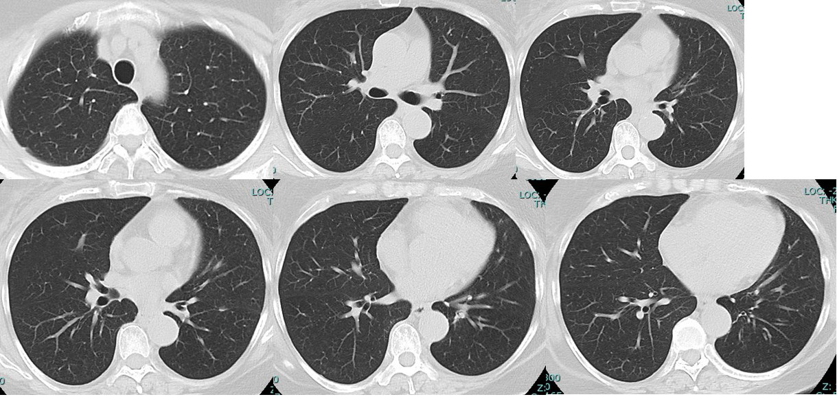
診断から2年半、ついにその時は来たのです。(多分YOUTUBEを見て)
転院、そして手術 Bt+Ax+Ic, (レベルⅢまで郭清しましたが、幸いリンパ節転移はレベルⅠに1個のみでした。乳腺腫瘍は33mm)
術後は根治を目指しanthracycline+taxaneを施行。
anthracyclin終了時の時点でのCTでcCR

きっと、12566さんが望んでいたのはこれなんだよ。
病変が(少なくとも)画像上消失した状態。
「癌から解放されたのでは?」と思える瞬間があるということ

それこそが、私が12566さんに感じてほしかったこと。
それが手を伸ばせば決して不可能ではないということ。
12566さんに、その思いを確認してみますね!







