○ 本文
1.まずセンチネルリンパ節生検が陽性であることについて
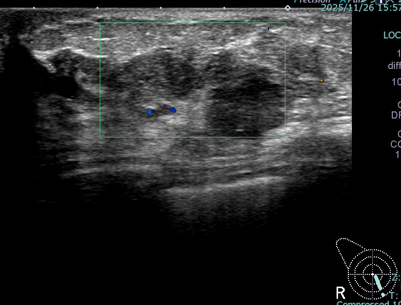
このエコー像では「おそらくセンチネルリンパ節生検は陰性だろう」となる。
実際の手術病理では 20/24
2.術前針生検の診断「非浸潤がん」と 手術病理「浸潤がん」の乖離
術前針生検で非浸潤がんだったのが、実際は(手術病理) 30mm overの浸潤がんだった。
♯ 非浸潤がん+浸潤がんも浸潤がんの大きさ=浸潤径と同じだった
つまり非浸潤がんのあるところには全て浸潤がんも存在
手術病理ではその「非浸潤がんの部分のみで診断、浸潤がんに気づかなかった(もしくは)浸潤がんを伴っていない部分に「たまたま」針生検があたった
このエコー像だと乳頭(画面左上)から乳管内を増殖(画面右方向へ)しているように見える
腫瘤形成していても、乳管内で広がることで浸潤していない場合もある
★ただし、同じ「術前組織診で非浸潤がん」でも (しこりのない)「石灰化のみ」で見つかるケースでは、やはり「手術しても非浸潤がん」というケースが多くなる
3.センチネルリンパ節生検からの腋窩郭清からの「鎖骨下郭清」
これは後に図の解説をつけますが(この図の作成に時間がかかり、現在動画配信までに時間がない!)

これがセンチネルリンパ節生検です。
腋窩に小切開をおいて乳頭付近にいれた色素で染色されたリンパ節(センチネルリンパ節)を取り出し→迅速病理診断
追加腋窩郭清 これは上記「腋窩小切開」を延長(主として頭側方向へ)し、大胸筋と小胸筋を持ち上げて、その裏側のリンパ節(レベル1+2)を郭清するものです。

腋窩郭清
画面右の大胸筋の裏に小胸筋があります。
その両方の筋肉を「ただ引っ張り上げて見える範囲の郭清」となります。
通常は上記で終了しますが…
今回はレベルⅡにも明らかな転移を疑う所見→下記の「鎖骨下郭清」となったのです。
♯センチネルリンパ節生検陽性からの腋窩郭清は時々ありますが、「センチネルリンパ節生検陽性から鎖骨下郭清」まで進むのは、かなり稀となります。

これは、大小胸筋間を剥がして(この際に血管処理あり)
小胸筋を手前に引っ張り出す必要あり
この視野を躊躇なく行えるのは「日頃から鎖骨下郭清をやっている」からであり、通常は行われない
術前エコー(1か月前)