
宮崎から、3か月に1回の通院も遂に10年!(皆勤賞のおまけつき)
感謝と敬意を込めて

今年2回目の屋上を飾る旨いカレー
冷凍200gのほうれん草と(生ハム風の)ベーコンのトッピング
〇 本文
それは「確定診断希望メール」から始まりました。
(現病院にて)石灰化病変でST-MMTで非浸潤がんの診断がついている。
ただ、『左乳房の左上にまとまった石灰化があり、そのほかの場所にもポツポツと見られる。造影MRIの結果からも、病変が全体に広がっている可能性が否定できないため、全摘を推奨する』
術式として温存は無理なのか? 一度画像を見てもらい意見をうかがいたい。
↓
それに対して(受診前に)メールで回答したのは、
『それらポツポツと見られるという「別の石灰化も癌なのか、そららのまずは1か所だけでも(ST-MMTで)確認する」という手段があります。』
無論、その時点ではその画像を見ていなかったのでが、その文面から以下のような画像を想像していたわけです。
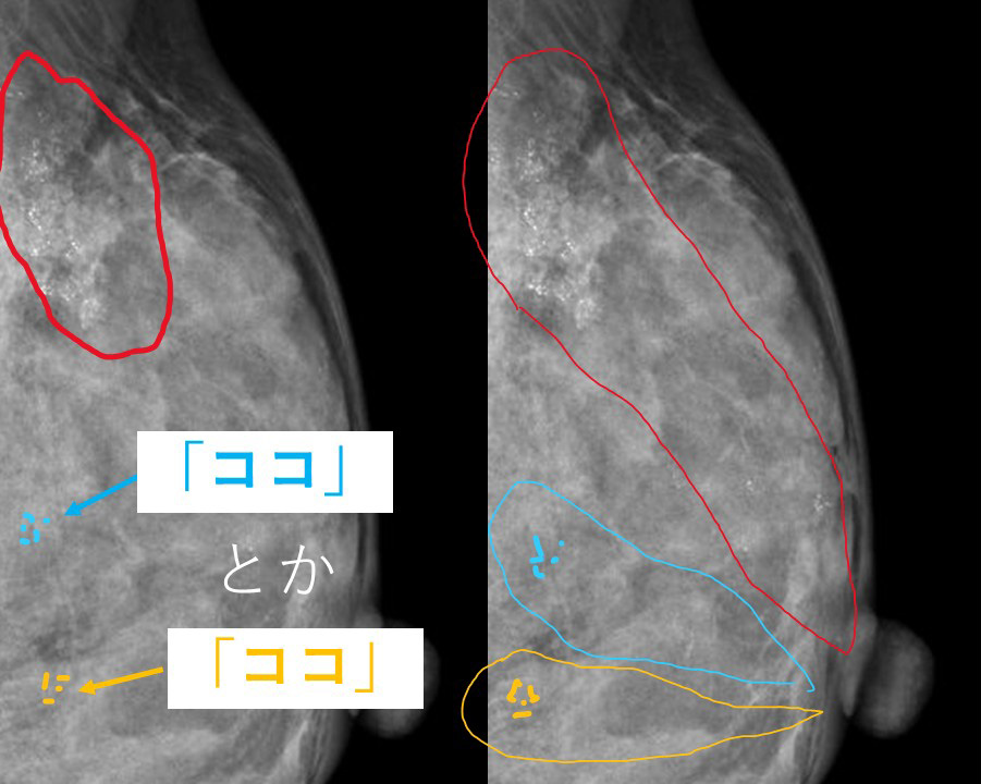
私が文面から想像していた石灰化
↓
1.真の意味で多発
石灰化 「赤色」 「水色」 「黄色」 これらの石灰化は「全く別々の区域」であり
互いに「無関係」 つまり真の意味で「多発」
つまり、私が事前に回答していた「別の石灰化も癌なのか、そららのまずは1か所だけでも(ST-MMTで)確認する」
というのは(図の赤色の石灰化が癌と診断されていたとして)上図の「水色」もしくは「黄色」のどちらかでもST-MMTをしてみて
もしもそれ(水色ないし黄色)も癌であれば、「真の意味の多発=温存不適切」と判断できる。
という意味だったのです。
ところが実際には…
2.(多発ではなく)同じ乳管系の中の「複数の石灰化」だった!のです。
この同じ乳管系とは…
石灰化が「別の乳管系(多発)」ではなく、一つの乳管系の「乳頭側」と「末梢側(今回はこちらの病変がメイン)」の複数に石灰化が起きた(シコリで言うところの)「daughter(娘結節)」ものだったのです。
その意味するところは全く異なります。
本来、温存手術とは「その乳管系を乳頭側~末梢側まで追いかけて切除すべき」ものであり、
「同じ乳管系の中の複数の石灰化は温存手術の対象である」と、言い切れるのです。
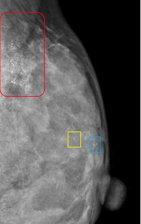
(実際の画像)
前医では、なんと(赤枠で囲った)main lesionの他に(その中枢側に)「黄色枠」や「青枠」の部分の石灰化を「多発=温存不可」と説明していたのです!
明らかにこれら(「黄色枠」や「青枠」)は「赤枠」と同じ乳管系の「中枢」にできた石灰化であり、多発ではなく「同一乳管系の複数の石灰化」と呼ぶべきものだったのです!
ナンタールチーヤ!
注)かつてscorpio♏️さんにも、解明していただいた懐かしき子供の頃の記憶 当時のCMの歌って、何十年過ぎても頭の中に残っています。
(以下、解説) 「当時の子供達」って、言われると照れますね。
味の素「ルーミックソース」TVCM 1966年発売開始。スパゲッティ用調理ソース。当初は缶入りだったが現在は粉末タイプに変更され水を加えるだけでコクのあるミートソースが手軽に楽しめる。70~80年代のCMにナポリ民謡「サンタ・ルチア」の替え歌が流れ当時の子供達に親しまれた。
この方が受診されて実際に上の画像を見せてもらって思ったのはまさに「なんたーるちーや」でした。
「同一乳管内の複数の石灰化」を「多発」として温存できないと考えていることは、
逆に言えば「普段から温存手術の際に、その乳管系を想像した手術をしていない!」ということ。
ナンタールチーヤ!(しつこい)
しかし、驚いたのはこれだけにとどまらなかったのです!
その施設で行われた(そして癌の診断にいたった)ST-MMTの画像も(セカンドオピニオンの資料として)ついていたのですが…
ST-MMT画像① 針を引き抜いた際の撮影画像
なんと!(そのST-MMT画像で)石灰化を外していたのです!
私の正直な感想として…
これだけ広範囲に存在する「狙いやすい石灰化」をわざわざ?外すんかい!(関西風に)
ST-MMT画像② 摘出した標本撮影
最初、この画像を見たときは「あれっ?石灰化無いな。それじゃー(他に)石灰化が採れている画像もあるのかな?」
しかし、ファイルを探せども標本画像はこれだけだったのです。
♯確かに①画像を見れば「上手いこと?」石灰化を外しているわけですが…
ただST-MMTは「石灰化を採取する」のが目的なのだから、通常ならば患者さんに
『残念ながら1回目は石灰化が採取できていなかったので、もう一度やりますね』
と承諾いただいて、2回目にトライして「今度は石灰化取れました。それでは終了です」とするのが常識だと思うのだが…
何故か、これで終了している。何故?
ただ(患者さんにとって)大変幸運なことに「石灰化が無い標本にも癌細胞が存在しており(全ての癌組織が石灰化を起こしているわけではないので石灰化を起こしていなかった癌組織が「たまたま」採取できていたということ)
それは(セカンドの資料として添付されていた)病理診断を見ても確認しました。
♯石灰化の記載が一切ないのです。
通常のST-MMTでは…
このように標本撮影して「石灰化を確認して終了」となります。
因みに…
ST-MMTをやり慣れていると、この標本撮影写真を見ただけで(後日判明する病理結果が)「癌かどうか?」
ある程度予想できるようになってきます。
典型的な癌の石灰化は(向かって)右図のように「大小不同」が目立ち、「かなり細かい」石灰化は良性(腺症のことが多い)が多い。
◎石灰化の位置関係
(多発ではなく)同じ乳管系に「複数」存在する石灰化は、実際の乳腺にその位置を落とし込むと、こうなります。
♯青色部分が(前医で)ST-MMTした石灰化で同じ乳管系の中枢側に存在する石灰化が赤緑黄色の3か所の部分
このように一つの「乳管系」があります。
1つの乳管孔の乳管が「枝分かれ」して末梢へ広がっていきます。
乳管内に癌が発生
水色で示した部分の乳管の壁の細胞が癌化
乳管内を癌細胞がどんどん広がる(左図→右図)
更にこのように広がり末梢の枝分かれ部位まで達する
2.石灰化の発生
乳管内に広範囲に広がった癌細胞の「ところどころ」で(乳管内で増殖したために中心部分の癌細胞が周辺から血流が不十分となり壊死に陥る=壊死型石灰化)石灰化発生
↑
これが実際の手術(摘出)標本
石灰化はこのように4か所とも綺麗に切除範囲となり(中心部=青色は乳腺の完全に端まで石灰化あり当然乳腺の端までの切除となります)
乳頭位置は「薄茶色」でしめしており(当然、乳輪乳頭は切除せずに、その裏側の乳腺を乳頭を「超えて」向こう側(下側)まで安全に切除範囲となっています。
↑
あれだけの切除範囲でも、凹むような変形はなく「volumeが全体に減り薄くなる」イメージ
♯術翌日なのでセンチネルリンパ節生検の色素の色が残ってますが、その日のうちになくなります。










