
霜降り牛タン弁当+本格ビーフカレー

この「生」バウム旨い!
そして L’AVENU テリーヌショコラ 絶品です。
◎ 本文
前置き(少々長いですが、我慢です)
外科の歴史…
古の昔、手術を行う科は全て「外科」でした。
そこから整形外科、脳外科、心臓外科、呼吸器外科と「どんどん」細分化してきました。
私が外科研修医として産声を上げた1995の時点では「乳腺外科」は存在せず「一般外科の一分野」にすぎませんでした。
それから(私の体感では)10年くらいして(乳癌患者の急増に押されるような形で)まずは薬物療法の細分化→(その煩雑さから)消化器外科を中心としながら、その「片手間では対応が不可能」となり自然発生的に「乳腺外科」が独立することとなりました。
↑
以上は、折に触れ私が時々言及する内容なのでこの乳がんプラザを知り尽くした「乳プラマスター」達には「耳タコ」であることは承知の上です。
今回、「手術可能」を題材とするにあたって必要な理解が
外科→「乳腺外科」という成り立ちが重要であると理解してもらいたいがためなのです。
♯決して「乳腺科」なる診療科(そもそも、そんな科はもともと存在していなかったですが)から「乳腺外科」が発生したわけではないのです。
♯♯もしも今、「乳腺科」なる科がどこかの病院やクリニックに存在するとしたら、それは「腫瘍内科」から発生(癌の薬物療法を専門とする中で、特に乳癌の薬物療法を専門とする)したものと思います。
手術の重要性
薬物療法の進化、究極的には「薬物療法だけで、綺麗さっぱり」癌がなくなってしまうことでしょう。
ただし、現段階では効果は「限定的」であるがゆえに「手術」の重要性は(寧ろ)増しています。
その最たる例がoligometastasisです。
(薬物療法の未熟な過去では)手術だけでは太刀打ちできなかった遠隔転移に対しても、今や「手術+薬物療法」で根治とする可能性が大きく開けています。
つまり、きちんとした手術「技術」と(治したいという)「患者さんの思いに(最大限に)寄り添うこと」
この両方がとても重要なのです。

ただし、悲しいことかな…
目の前の医師に(そのどちらか)もしくは「その両方」が欠けているために、本来治る可能性の大いにある患者さんが置き去りにされている。
その具体的な例を挙げます。
皆さんどう思うだろうか。
◎その技術がないことで、患者さんの希望が打ち砕かれそうになった症例
case 1
つい9月、動画生配信に出演してくれた、そう「今週のコラム 515回目」のケースです。
(以下、抜粋)
手術予定といわれた10日後の「どんでん返し」 あなたは、もう治らない(と、同様の)宣告
(癌)告知の10日後
それらの検査結果を聞きにいくと、(癌の告知以上の)驚きの宣告が待っていた!
CTで頸への転移があったので残念ながらステージ4「悲しいお知らせ」と
この時点で6月予定(この日の16日後に予定されていた)していた手術がキャンセルとなり、薬物療法一択の宣告!

このケースでは「鎖骨上~後頚部リンパ節」の手術が(技術的に)できない=手術不能=あなたは治らない
そう「地元で」言われたケースです。
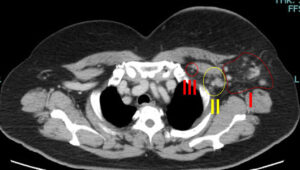
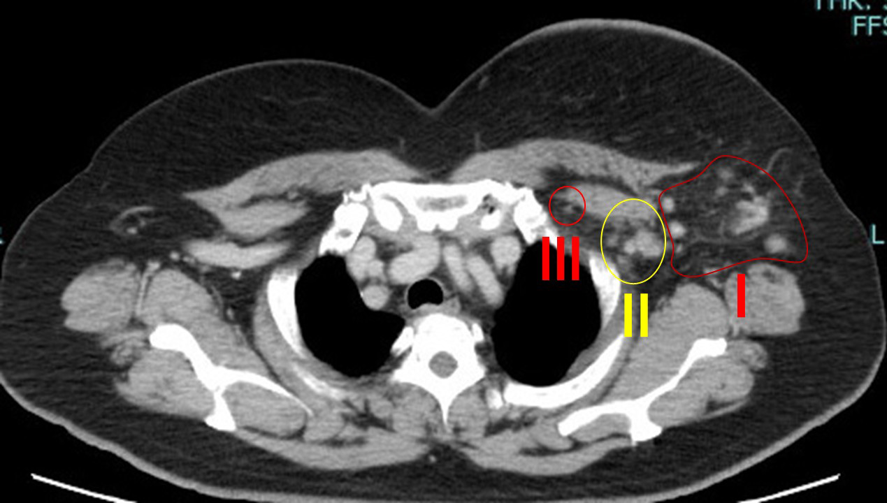
鎖骨上~後頚部リンパ節転移
当院で手術したわけですが、それが人生を大きく変えました。
技術の不足が、その患者さんの一生を左右する。
それは本来あってはならない。そう思いますが、それは現実に存在するのです。
◎その技術がないことで、患者さんの希望が打ち砕かれそうになった症例
case 2
Q&A 術前抗がん剤について 11/21 16:11 (現在は管理番号:13232)
左胸癌 トリプルネガティブ ステージⅡ~Ⅲa 大きさ4~5cm
CT PET検査 転移無し治療方針 術前抗がん剤で腫瘍が縮小した場合も全摘手術
術前抗がん剤は無しで全摘手術を希望しましたが腫瘍が大きいので傷跡が酷くなるため必ず術前抗がん剤は必要との説明でした。

実は、この患者さんはこのQAの数日後に当院を受診しているんだ。

で、どうだったの?

診察してみて、(とても)驚いたんだけど…
主治医が「そのままでは手術できない」って言っているくらいだから「結構な状況なのかな」と思って診察してみたら…

診察してみたら?

とっても驚いたことに、ごく「普通」なんだ(少なくとも私から見れば)
腫瘍は確かに大きいは大きい(メールにあったように5cm程度)けど皮膚浸潤も無ければ皮膚の浮腫も、(それどころか)皮膚への圧迫所見さえもない。
簡単に言えば…

簡単に言えば?

普通。
全摘なのだから、「乳腺は全部取ります(その中にちなみに腫瘍は5㎝です)」ただそれだけ。
地元の医師が「術前抗がん剤しないと手術できない」と言っている意味が全くわかんない!
例えば…
「皮膚の浸潤や(それに伴う)浮腫」が広範囲だと、皮膚を広範囲に摘出しなくてはならない(仮に普通は行わないけど皮膚移植するとしても)どこまで皮膚を切除したら安全(癌を取りこぼさない)なのかどうにも無理となるので(手術するためには)術前に抗がん剤が必須となるのだけど…
全く、そんなことなく「ただただ、普通」だったんだ。
それでいて(その患者さんから)診察時に直に聞いたのだけど…
その医師から
術前抗がん剤しないと手術できません。
但し術前抗がん剤しても効かないこともあるので、その場合には「一生抗がん剤」となります。
そういわれて絶望的になった。

これが許されるか?
私は正直、その時憤りを感じました。
その医師の技術が低いからと言って、目の前の患者さんを「絶望に落としれる」などあってはならない!
♯実は、今回のこのコラムも(それに付随した12月21日の)動画生配信もこの思いが私に火をつけたのです。
以下に(技術云々も根底にあるのかもしれないが)主として「患者さんの思い」を受けいれられない医師たちが手術を拒絶した例を挙げます。
◎その「患者さんの思い」を医師に受け入れてもらえず手術を拒絶された例
case 1
他院、初診時のCT
皮膚肥厚を伴う大きな腫瘍
リンパ節転移も腋窩(Ⅰ+Ⅱ)鎖骨下(Ⅲ)
両方に著明
前医で「手術不能乳癌、薬物療法しかできない」と、言われ当院を受診

初診時
確かに…
皮膚肥厚(つまり皮膚浮腫)が胸全体なので現時点では「手術不能」と言えるけど、それほどでもない。
幸い?HER2タイプだったのでセカンドオピニオンとしての回答に
『anti-HER2 therapyで(phesgo+docetaxelx4くらいやれば)手術可能となると思います。』と書いたんだ。
ところが、それに対して地元の医師の返答が
以下、彼らの回答
(我々は)フェスゴ+DTXx4クールでoperative(手術可能)になるとは考えにくいと考えていること 注1)
現状に対しそれほど手術に積極的でない事 注2)
以上を説明したところ、棋院での治療を希望されました。
と、いうことで結局当院へ転院術前抗がん剤(phesgo+docetaxel)を施行してつい最近手術しました。
患者さんは結構な遠方(中京地方)でしたが、自家用車で外来ケモ通い切りました。(その思いに拍手!)

効いたねー!
ところで、気になる注1) 注2)は??

まさに、そこが確信だよね。
注1)(我々は)フェスゴ+DTXx4クールでoperative(手術可能)になるとは考えにくいと考えていること
→実際に手術可能となったわけだけど…
それでも私は全摘+腋窩鎖骨下郭清しています。
この部分は(実は)彼らの「技術レベルの低さ」を露呈しているのではないか?と思っている。
そもそも「鎖骨下に転移がある」時点で、(自分たちの手に負えない)=手術できない(しても仕方がない)としか見ていないように思う。
注2)現状に対しそれほど手術に積極的でない事
→これは(注1とも関連しているかもしれないが)、(手術してほしいという)「患者さんの思い」に対して(彼らの文字通り)積極的になれない姿勢を表している。
患者さんが(セカンドオピニオンまでして)「強く願っている」のに、何故その気持ちに「積極的になれない」のか!!
ここまでで、かなり長くなってしまったので…
この「患者さんの思い」に対して手術を拒絶されるというパターンに多い(最近、特にQAでも増えている)oligometastasisの方達のケースは次回とします。
ただ、この週末(12月21日)に控えた動画生配信には、このような『前医で「技術的に」もしくは「思いが届かず」手術を拒絶され当院で手術を受けた方達』の出演を募集(急募!)します。
今こそ、全国に今まさに悩んでいる人たちにその思いを伝える、その時です。


術前抗がん剤後 腫瘍著明に改善 皮膚浮腫の範囲も縮小
リンパ節も、かなり効いています。